Webinar Overview
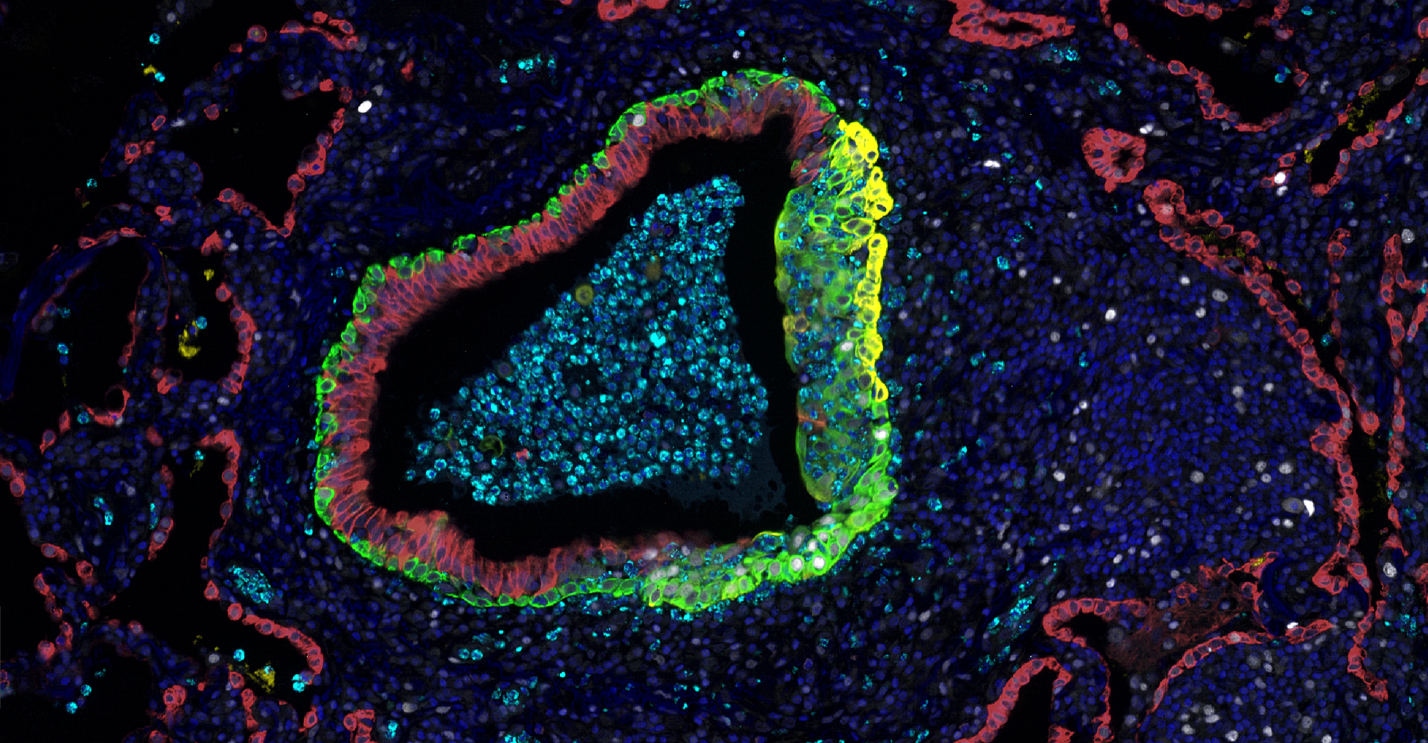
Traditional immunohistochemistry (IHC) and bulk assays often miss the spatial heterogeneity and functional architecture of the tissue microenvironment. This leaves critical biology unseen, which will impact your journey to market.
This webinar explains how our end-to-end spatial biology platform combines state-of-the-art, high-plex staining automations and sophisticated image analysis to deliver reproducible, scalable data that enhances your translational research and biomarker discovery. Pharma and biotech researchers seeking translatable insights will see how spatial profiling of protein markers and cell states reveals tissue complexity, enabling deeper biological insights across discovery, preclinical, and translational research.
Join us and learn how to:
- Decode the immune and tumor microenvironment to reveal meaningful spatial patterns and interactions
- Deepen your understanding of tissue organization and biological behavior through profiling of functional cell states
- Strengthen your biomarker strategies by integrating spatially resolved data that supports translational decision-making
Be sure to stick around after the presentation and get your questions answered by our expert during a live Q&A.
Scientific Moderator

Danielle Brown, DVM, MS, MBA, DACVP, DABT, FIATP
Digital Projects Leader
Charles River
Webinar Presenter

Frédéric Gervais, DVM, DECVP
Associate Director, Pathology
Charles River
Have a scheduling conflict? Sign up even if you can't make it; we'll share the recording after.