Discovery
|
Liz Hudson
The Future of Biomarker Discovery
A Q&A with Charles River Director of Discovery Sciences and Biomarkers Stefan Kostense on why biomarkers are increasingly being leveraged during the earliest phases of discovery.
Biomarkers are an exciting and rapidly advancing area of therapeutic development which provide valuable insight into the characteristics and biological processes of early compounds, lead candidates and investigational new drugs. In addition to understanding the behaviour of prospective therapeutics, biomarkers can also help us to identify patients who are likely to respond positively to a therapeutic, increasing clinical trial selection efficacy, promoting access to effective drugs, and reducing ineffective treatment and side effects.
In this interview with Dr Stefan Kostense, Director of Biology at Charles River, we discuss patient impact, the advancing applications of biomarker research along the drug discovery and development pipeline, and how biomarkers are being leveraged earlier in the discovery phase to support translational and IND success.
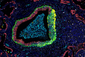
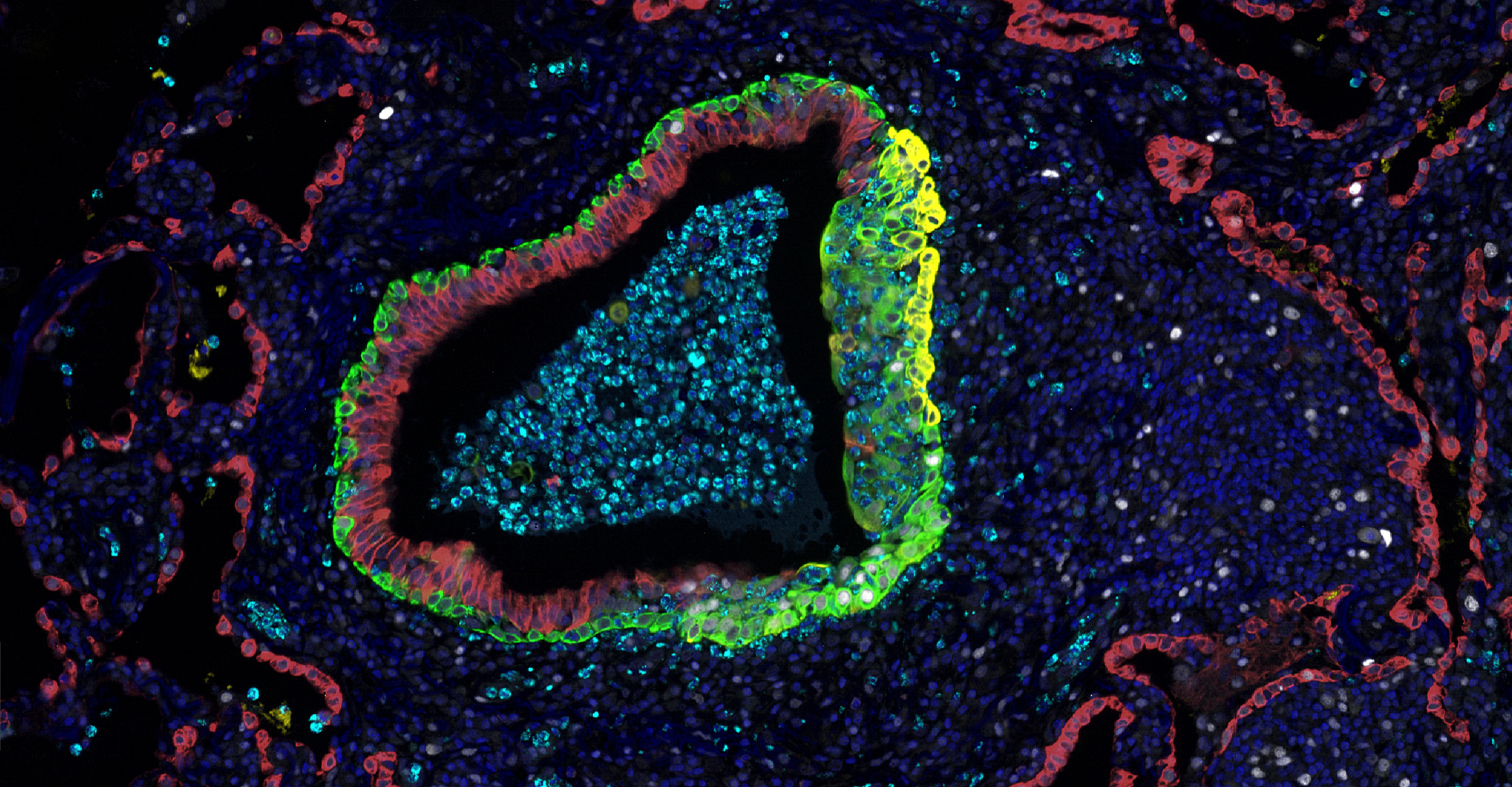
Advance Your Translational Research with High-Plex Spatial Profiling
March 31, 2026 | 11:00 AM EDT | 5:00 PM CEST
This webinar will explain how our end-to-end spatial biology platform combines state-of-the-art, high-plex staining automations and sophisticated image analysis to deliver reproducible, scalable data that enhances your translational research and biomarker discovery.
Register for Webinar
What are the real-world benefits of early biomarker research to the patient?
Stefan: Patients are often keen for their disease to be better understood, to support the development of effective and widely available drugs. A higher probability of successful drug development, which is ubiquitous with biomarkers, will also benefit patients who are waiting for the treatments they need. Once in clinical practice, the right biomarkers will help clinicians refine prescription, reduce pairing therapies with patients who are unlikely to respond positively, and therefore avoiding potential side effects. In addition, PD [pharmacodynamic] or toxicity biomarkers will allow monitoring of a patient’s response to treatment. Biomarkers indicating positive or adverse effects will aid clinical decision making to continue or stop treatment, all benefitting the patient.
Even negative results in drug development or biomarker discovery will provide valuable information to direct next generation drug development, ultimately benefitting the patient.
Traditionally, biomarker research has been conducted using clinical samples later during drug development. Why are more drug developers choosing to begin biomarker research during early-phase discovery?
Stefan: It is widely recognized that biomarkers improve the probability of success in clinical development; the average is between double and triple, but it can be as high as five-fold. Selecting only those patients that are likely to respond to treatment will increase the statistical power to establish a difference between the IND-treated group and the placebo or comparator group. While Phase I is not designed to prove the efficacy of a drug, being able to apply the stratification biomarker, or simply evaluate the usefulness of such marker could inform business decisions as early as Phase I. The same is true for PD markers or toxicity markers; the earlier these can be applied and tested in clinical development, the more added value to the overall program, including stopping unsuccessful drug candidates earlier.
Biomarkers are not only useful in clinical development but can drive drug discovery and development decisions already in the discovery and preclinical phase. All readouts that are used in in vitro and in vivo studies to evaluate drug candidates and select lead candidates could be regarded as biomarkers. Drug developers are now more prone to extending the direct in vitro readout towards pathways further downstream to identify potential biomarkers that could also be applied in clinical studies, improving translational success of early discovery decisions.
In general, biomarkers are valuable de-risking factors in early-phase discovery, and VC companies or larger pharmaceutical companies typically prefer to invest in start-ups or early-stage drug candidates if a supporting biomarker is available.
What is the impact of early biomarker research on clinical trial preparation and planning?
Stefan: The earlier candidate biomarkers are identified, the earlier they can be utilized. For example, it allows for appropriate clinical protocol design prescribing the collection of the right type of samples for biomarker evaluation. Human sampling may be restricted in terms of volume or frequency but combined with in vitro and in vivo biomarker data will support the selection and prioritization of samples needed for further clinical evaluation and qualification.
While exploratory biomarkers cannot be used to guide clinical decisions yet, these can be evaluated as potential patient selection markers and/or PD markers. Sponsors need to be thinking about biomarker inclusion early enough to think through the assay validation and logistical considerations ahead of patient recruitment being initiated.
How does the earlier discovery of appropriate biomarkers improve translation from animal models to humans?
Stefan: Successful translation from in vitro to in vivo to human is always a crucial factor in the successful progression of a therapeutic candidate. In vivo research is typically used to study disease process, and biomarker involvement, in a more complex organism; these biomarkers provide clues and signposts around the biological processes that are affected or related to the drug mechanism of action or the disease itself. This information aids in narrowing down a hypothesis in humans.
From the perspective of advancing next generation research, after successful clinical development, clinical biomarkers can be compared with biomarkers obtained in an animal model. Retrospective validation of an animal model and relevant biomarkers will accelerate the development of future therapeutics.
Where does biomarker research most ideally fit in the drug discovery pipeline?
Stefan: It depends on the disease mechanism, the compound, the advances in the field, and many other factors, so multiple answers can be given, but a short answer would be throughout the entire process of drug discovery.
A first logical option would be during target discovery and validation. Investigating the disease mechanism and potential targets often includes the use of -omics (genomics, transcriptomics, proteomics, etc. and combinations thereof) to detect differences between healthy and diseased individuals. Extending the research question to biomarkers is an efficient way to make use of resources and have a readout that could be measured during all stages of the drug discovery process. Patient selection markers and PD markers may be found in the same pathways involved in the disease, either upstream or downstream of hypothetical targets, and this will provide valuable clues as to what biomarkers should be evaluated in next stages and which patients could benefit most.
Another logical phase would be lead optimization—for instance if compounds are tested in different cell lines such as a set of patient-derived xenograft (PDX) tumor cell lines. The different PDXs could mimic a patient population of mixed susceptibility to candidate treatments and allow for investigation of molecular factors that determine response to treatment in vitro. Again, this data provides valuable clues where to look for in clinical samples.
Stefan graduated from Utrecht University in Molecular Biology, including an internship at the University of Florida, and obtained his PhD in HIV specific immunity at the University of Amsterdam. With extensive professional experience in pre-clinical and clinical vaccinology, Stefan established a GLP and GCLP-compliant toxicology and clinical immunology laboratory, and later a Biomarker team for the development of prognostic and predictive biomarkers in the field of prevention of autoimmune diseases, neurodegenerative diseases and cancer. Stefan now holds the position of Director of Discovery Sciences and Biomarkers with Discovery Charles River.
Liz Hudson is Senior Marketing Manager at Charles River Laboratories, leading Small Molecule, Discovery.

