What is the Purpose of Spinal Cord Injury Models?
Spinal cord injury (SCI) by contusion/impact is the gold-standard model in which novel therapeutics can be tested. We conduct proof-of-concept and efficacy studies in SCI models for acute and chronic neuroprotective and regenerative therapeutics, across multiple modalities including small molecules, biologics (i.e., antibodies and proteins), RNA therapeutics, and cell therapies.
Spinal Cord Injury Research Studies
Alongside appropriate spinal cord injury models, combinations of readouts across functional assessments, behavior and cognition, preclinical imaging, and bioanalysis/biomarkers enable greater understanding of drug efficacy and effects on pathology. Repeated in-life readouts allow for longitudinal tracking of injury progression and therapeutic efficacy. Our neuroscience experts can advise on the most appropriate combination of readouts to answer your drug discovery questions.
Components for your spinal cord injury study include:
- Post-operative monitoring and assessment as standard
- Behavior tests for locomotor changes and cognitive function
- Fine kinematic gait analysis enabling high-sensitivity detection of subtle changes in gait and limb placement
- Ex vivo assessment of spinal cord structure, pathology, and disease biomarkers
Phenotyping of Spinal Cord Injury Models
Spinal cord injury is induced in rats at the T10 thoracic position by mechanical contusion using the PinPoint™ Precision Cortical Impactor™. This provides precise control of velocity, depth and power of impact to generate accurate, reliable and reproducible animal models of spinal cord injury, with a predicable recovery pattern.
-
Behavior and Locomotion
Changes in behavior, cognition, and locomotion following spinal cord injury can be assessed in various ways. The Basso, Beattie, and Bresnahan locomotor rating system assess recovery from injury and is a rapid method for comparing treatment to untreated controls or sham surgery controls.
Similarly, measurement of distance travelled and rearing count in open field offers a simple readout of motor deficits. To detect subtle changes in limb movements and gait, kinematic gait analysis can be used. All these methods can be repeated at different timepoints in a longitudinal study.
The below data show the impact of spinal cord injury in rats, assessed by Basso, Beattie, and Bresnahan locomotor rating, and open field test at various time point across a six-week study.
-
Histology and Biomarkers
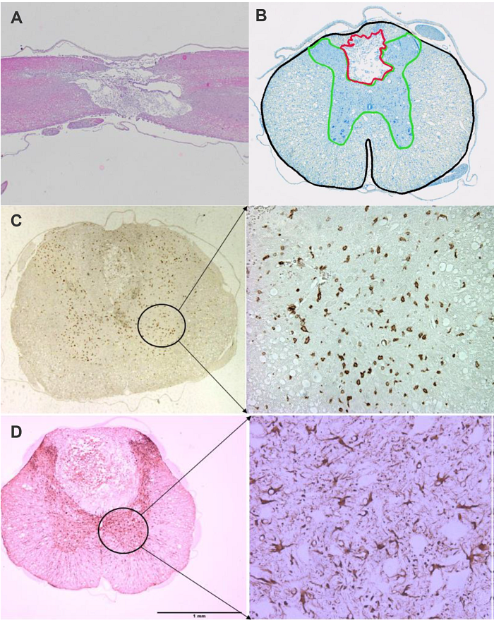
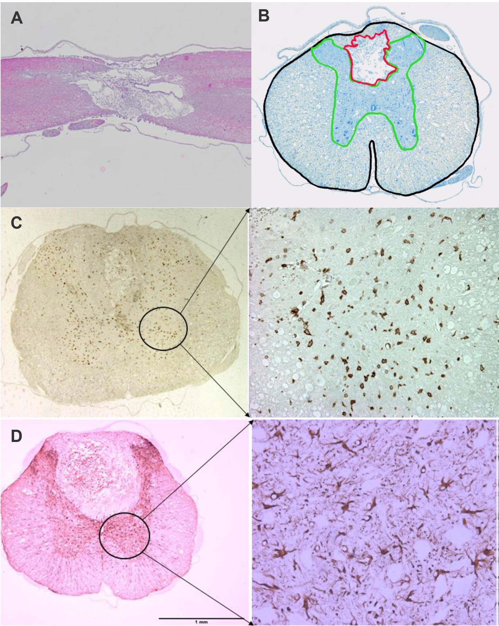
Injury pathology can be assessed through histology, with readouts including lesion size and white matter damage. Similarly, immunohistochemistry enables profiling of neuroinflammatory markers, showing presence of microglia and astrocytes in the spinal cord following contusion injury.
The below images show histology assessment of lesion area (A) and white matter damage (B) by Giemsa and H&E staining, as well as spinal cord immunoreactivity for microglia (C) and astrocytes (D).

Our Expertise in Spinal Cord Injury Models
![]()
Expertise
Extensive expertise in efficacy study design for stroke drug discovery
![]()
Experience
Over 15 years’ experience working with surgical and pharmacological stroke animal models
![]()
End-to-End Services
From high-throughput screening to IND-enabling studies
![]()
Translational Readouts
Preclinical imaging technologies reflect clinical assessments
This eBook describes strategies across the early stages of drug discovery to support confidence in your lead small molecule candidate and ensure you proceed through the drug development process with the most promising candidate.
Read the eBook
